A root canal is often the best way to save a badly infected tooth without removing it. When decay, cracks, or trauma reach the pulp, the pain usually does not settle on its own. Timely treatment helps remove infection, relieve pressure, and protect the surrounding bone and gums. If you have lingering toothache, swelling, sensitivity, or pain while chewing, getting checked early can prevent a more complicated problem later.
At our clinic, root canal treatment in Islamabad is planned around comfort, clarity, and long-term success. We use careful diagnosis, modern techniques, and a gentle approach to clean the infected canal and seal the tooth properly. The goal is simple: to stop the pain, save your natural tooth, and help you get back to eating and smiling.

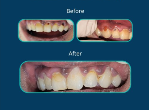
We begin with a thorough dental exam to confirm whether root canal treatment is the right solution for your tooth. Digital X-rays help us see the level of infection, the shape of the canals, and any damage around the roots, so your treatment plan is accurate from the start.

Your comfort comes first. The tooth and surrounding area are numbed carefully before treatment begins, then the infected pulp is removed from inside the tooth. This step relieves pressure, targets the source of pain, and stops the infection from progressing further.

After removing the infected tissue, the inner canals are cleaned, shaped, and disinfected using modern endodontic techniques. Once the area is fully prepared, the canals are sealed to prevent bacteria from returning and to protect the tooth from future infection.

In the final step, the tooth is restored so you can bite and chew comfortably again. Depending on the condition of the tooth, a filling or crown may be recommended to strengthen it, improve function, and help it last for years with proper care.




Everything You Want to Know About Root Canal Treatment in Islamabad.
A filling may be enough if the decay is small and the nerve is not infected. A root canal is usually needed when:
Pain lingers or throbs
Hot or cold sensitivity lasts
There is swelling, pus, or gum tenderness
The tooth hurts when biting
Most root canal treatments take 1 to 2 visits, depending on the tooth, number of canals, and severity of infection. Some clinics in Islamabad also promote single-visit treatment for selected cases.
Often yes, especially for back teeth. A crown helps:
Protect the treated tooth from cracking
Restore chewing strength
Improve long-term durability
Front teeth may not always need a crown if enough natural tooth structure remains.
Delaying treatment can let the infection spread deeper into the tooth and surrounding bone. This may lead to:
Worse pain
Swelling or abscess
Higher treatment cost
Risk of losing the tooth
Avoid chewing on the treated tooth until the final filling or crown is placed. Brush gently, floss carefully, take any prescribed medicines on time, and avoid very hard or sticky foods for a few days.
If your tooth pain keeps you awake, hurts when you bite, or comes with swelling or a bad taste in the mouth, do not delay treatment. These signs often mean the infection is active and may spread deeper into the tooth and surrounding tissues.
Modern root canal procedures are performed under local anesthesia, so you should feel little to no pain during the treatment itself. Some pressure or mild discomfort may be experienced, but sharp pain is uncommon. After the procedure, mild soreness or sensitivity for a few days is normal and can usually be managed with over-the-counter pain relievers.
Simple cases: Often completed in 1 visit.
Moderate cases: May require 2 visits, especially if the tooth has multiple canals or an infection that needs to settle.
Complex cases: Severe infections or challenging tooth anatomy may require 3 or more visits.
For expert care and a healthy smile, trust our leading Dental Clinic in Islamabad today for advanced, gentle dental solutions.
Opening Hours
Sunday: Closed
Monday: Open 24 Hours
Tuesday: Open 24 Hours
Wednesday: Open 24 Hours
Thursday: Open 24 Hours
Friday: Open 24 Hours
Saturday: Open 24 Hours
Areas Served
E-8, E-9 Islamabad
F-6, F-7 Islamabad
F-8, F-10 Islamabad
G-7, G-8 Islamabad
H-8, G-9 Islamabad
Contact
smileavenue.pakland@gmail.com
📱+92 339 5183329
📍First floor, Pakland Medical Centre, Smile Avenue, PMC, Clinic#1, Markaz F-8, Islamabad
© 2026 Smile Avenue. All Rights Reserved.
WhatsApp us