Prosthodontics is the dental specialty that focuses on restoring and replacing missing teeth to bring back both function and aesthetics.Β
Modern prosthodontic treatments are designed not just to improve your smile but also to enhance chewing, speech, and overall oral health. From crowns and bridges to dentures and full-mouth reconstructions, each solution is tailored to your unique dental structure, lifestyle, and cosmetic goals, providing confidence and comfort every step of the way.
At our clinic, advanced technology meets expert craftsmanship and genuine patient care. We focus on comfort, precision, and natural-looking results in every restoration. From a single crown to a full set of dentures, every prosthesis is carefully tailored to your smile, bite, and lifestyle.
We believe in transparency and clear communication at every step. Each restoration not only enhances your appearance but also functions seamlessly in daily life, giving you confidence, comfort, and long-lasting results you can rely on.

Custom-made dentures restore missing teeth, improving chewing, speech, and smile aesthetics. Modern dentures are comfortable, natural-looking, and durable, offering a practical solution for partial or full tooth loss while boosting confidence and overall oral health.

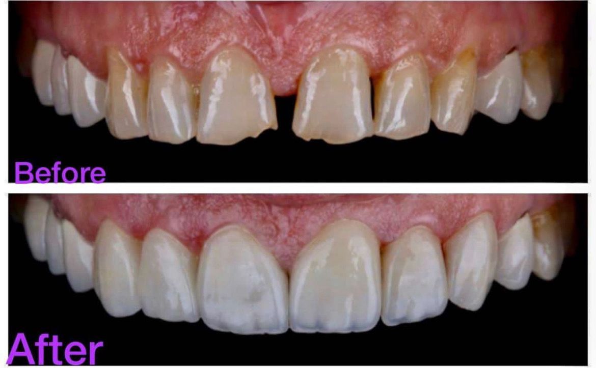
Dental crowns cover damaged or weak teeth, protecting them from further decay while restoring shape, strength, and appearance. They provide a long-lasting, natural-looking solution for broken, worn, or cosmetically imperfect teeth, improving both function and smile aesthetics.




All you should know about Prosthodontics.
Prosthodontic treatment restores missing or damaged teeth using crowns, bridges, or dentures. It improves chewing, speech, facial structure, and smile aesthetics while protecting long-term oral health.
Yes. Todayβs dentures are more comfortable, durable, and natural-looking than before. They restore chewing, speech, and confidence when properly fitted and maintained.
With proper care, dental crowns often last 10 to 15 years, while dentures may last around 5 to 10 years. Regular checkups and good oral hygiene can help extend their lifespan.
General dentistry focuses on prevention and basic treatments, while prosthodontics specializes in restoring teeth, replacing missing teeth, and improving function and aesthetics for complex cases.
Most procedures are minimally uncomfortable. Local anesthesia, sedation options, and modern techniques ensure a pain-free experience during and after treatment.
EXCELLENT Based on 131 reviews Posted on Google Rizwana RajputTrustindex verifies that the original source of the review is Google. Dr. Hafsa is such a professional person. She pays attention to every small detail and make sure that her patient is satisfied and comfortable in every possible way. I got teeth whitening treatment from her and the results were truly satisfied. Highly recomended.Posted on Google Tabassum JamilTrustindex verifies that the original source of the review is Google. Second visit with Dr. Hafsa and I'm impressed with her professionalism. Puts me at ease every time.Posted on Google Artur WoszczynaTrustindex verifies that the original source of the review is Google. Its was pleasure to visit so proffessional dental clinic.Posted on Google 24G014 Hoorain FatimaTrustindex verifies that the original source of the review is Google. DR HAFSA SARWAR is very excellent doctor. she is a warm soft spoken human being and a high q ualified doctor.she gives full attention to the patient and answer all the concerns and queries.thank you mam for helping me that are excellent dentist like you.Posted on Google Basim AhmedTrustindex verifies that the original source of the review is Google. Very cooperating and polite staff, clinic is clean hygienically, affordable charges and flexible timings.Posted on Google Ahmad Ishaq KhanTrustindex verifies that the original source of the review is Google. "Excellent experience at Smile Avenue for a filling. Professional staff, clean facility, and great results. They definitely make going to the dentist a lot less stressful. I'll be coming back for my future check-ups!"Posted on Google Usama MumtazTrustindex verifies that the original source of the review is Google. I had my scaling and polishing done from her . Very satisfied with the treatment. Highly recommendedPosted on Google Bebo KhanTrustindex verifies that the original source of the review is Google. The experience here at smile avenue f8 has been incredible, we come here very often to get treatments like skin, hair or dental treatment. This clinic is highly recommended and dr.hafsa is a very good consultant and a great doctorPosted on Google Kiran NazirTrustindex verifies that the original source of the review is Google. Dr. Hafsa at Smile Avenue did an excellent job with my filling. She explained everything clearly and was very gentle. The clinic is clean and modern too! Would definitely recommend πPosted on Google Saba ShahTrustindex verifies that the original source of the review is Google. Best ever service and procedure β¦F8 markaz Islamabad
Restoring Function and Comfort
Missing or damaged teeth can affect eating, speaking, and daily confidence. Prosthodontic care ensures that your teeth work properly, reducing jaw strain and preventing further oral issues.
Boosting Aesthetic Appeal
A beautiful, natural-looking smile is possible with custom prosthetic solutions. These treatments improve facial symmetry and restore your confidence in social and professional settings.
Crowns and Bridges
These solutions repair or replace damaged teeth efficiently, maintaining proper bite alignment and enhancing appearance.
Removable Dentures
Modern dentures are comfortable, durable, and designed to match your natural teeth perfectly.
Before any treatment, our specialists perform detailed evaluations, including 3D imaging and bite analysis, ensuring the most precise treatment plan. We focus on minimizing discomfort, educating patients about procedures, and providing long-term maintenance guidance. This ensures every patient feels confident and informed throughout their prosthodontic journey.
For expert care and a healthy smile, trust our leading Dental Clinic in Islamabad today for advanced, gentle dental solutions.
Opening Hours
Sunday: Closed
Monday: Open 24 Hours
Tuesday: Open 24 Hours
Wednesday: Open 24 Hours
Thursday: Open 24 Hours
Friday: Open 24 Hours
Saturday: Open 24 Hours
Areas Served
E-8, E-9 Islamabad
F-6, F-7 Islamabad
F-8, F-10 Islamabad
G-7, G-8 Islamabad
H-8, G-9 Islamabad
Contact
smileavenue.pakland@gmail.com
π±+92 339 5183329
πFirst floor, Pakland Medical Centre, Smile Avenue, PMC, Clinic#1, Markaz F-8, Islamabad
Β© 2026 Smile Avenue. All Rights Reserved.
WhatsApp us